家暴 明星,揭开娱乐圈的隐秘角落

家暴 明星,揭开娱乐圈的隐秘角落

2℃ 0
你知道吗?在光鲜亮丽的明星光环背后,有时候也会隐藏着不为人知的家庭暴力阴影。今天,我们就来聊聊这个沉重的话题,看看那些曾经被家暴困扰的明星们,他们是如何面对困境,走出阴霾的。一、家暴,一个不容忽视的社会问题家暴,这个看似遥远的词汇,却离我们并不遥远。根据我国相关数据显示,每年有数百万家庭遭受家暴的折磨。而在娱乐圈,这样的悲剧也时有发生。家暴不仅伤害了受害者,更让旁观者感到痛心疾首。二、明星家暴事件盘点1. 张雨绮与袁巴元张雨绮与袁巴元的婚姻生活,可谓是娱乐圈的“狗血剧”。两人结婚仅七个月便宣布离婚,原因是袁巴元多次家暴张雨绮。离婚后,张雨绮勇敢地站出来,...
互撸图片

互撸图片

1℃ 0
你有没有发现,最近网上那些互撸图片突然火了起来?没错,就是那种让你忍不住多看几眼的图片。今天,我就来带你一探究竟,看看这些互撸图片背后隐藏的秘密。互撸图片的起源说起互撸图片的起源,还得追溯到互联网的兴起。随着网络技术的发展,人们的生活越来越离不开网络。而在网络世界里,人们总是追求新鲜刺激,互撸图片就这样应运而生了。据不完全统计,互撸图片最早可以追溯到上世纪90年代。那时候,互联网还处于起步阶段,人们对于新鲜事物充满好奇。而互撸图片,作为一种新兴的娱乐方式,迅速吸引了大量网友的关注。互撸图片的类型互撸图片的种类繁多,大致可以分为以下几类:1. 搞笑类:这类...
娱乐主播带你吃瓜,娱乐主播带你领略吃瓜界的风云变幻

娱乐主播带你吃瓜,娱乐主播带你领略吃瓜界的风云变幻

3℃ 0
你知道吗?现在网络上最火的娱乐主播们,不仅会带你领略各种精彩节目,还能带你吃瓜!没错,就是那种边看边聊,揭秘娱乐圈那些不为人知的幕后故事。今天,就让我带你一起走进这个热闹非凡的世界,感受一下娱乐主播带你吃瓜的乐趣吧!一、瓜王争霸,谁主沉浮?在众多娱乐主播中,有一位被誉为“瓜王”的存在,那就是XX。他的直播间里,每天都有新鲜热辣的娱乐圈新闻,而且分析得头头是道。每当有明星出轨、恋情曝光、作品争议等热点事件发生,XX总能第一时间为大家带来独家解读。比如,最近某明星被爆出轨,XX在直播中不仅详细梳理了事件经过,还深入分析了该明星的人设和公关团队的处理方式。他的...
正能量网红有谁,盘点当下最具正能量的网红风采

正能量网红有谁,盘点当下最具正能量的网红风采

4℃ 0
你知道吗?在互联网这个大千世界里,总有一些特别的人,他们用自己的方式传递着满满的正能量,成为了我们生活中不可或缺的一部分。今天,就让我带你一起探索那些让人心情愉悦的正能量网红都有谁吧!阳光笑容的“微笑女神”说到正能量网红,不得不提的就是那位被称为“微笑女神”的小姐姐。她叫小月,是一位拥有百万粉丝的抖音达人。小月总是以阳光的笑容示人,无论是分享日常生活的点滴,还是教大家做美食、穿搭,她的视频总是让人心情愉悦。她的正能量感染了无数网友,甚至有人评论说:“看小月的视频,感觉整个世界都亮了!”健身达人,塑造健康生活态度接下来,我们要介绍的是一位健身达人——小杨。...
明星被富豪糟蹋最惨的

明星被富豪糟蹋最惨的

3℃ 0
你知道吗?娱乐圈里那些光鲜亮丽的明星,背后可是有着不少鲜为人知的辛酸故事。今天,咱们就来聊聊那些被富豪糟蹋得最惨的明星们,看看他们是如何在名利场中挣扎求生的。一、被金钱蒙蔽的双眼在娱乐圈,富豪们似乎总是如影随形。他们用金钱堆砌出的奢华生活,让不少明星为之倾倒。在这光鲜的背后,却隐藏着一段段不堪回首的往事。据某知名娱乐博主爆料,某位当红小花曾与一位富商交往。起初,她以为这是自己命运的转折点,可以从此过上无忧无虑的生活。随着时间的推移,她逐渐发现,这位富商并非真心对她,而是看中了她的名气和美貌。在富豪的糖衣炮弹下,小花陷入了无法自拔的境地。二、身陷囹圄,无法...
脑肿瘤图片,形态、特征与诊断要点

脑肿瘤图片,形态、特征与诊断要点

5℃ 0
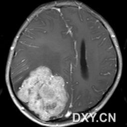
你有没有想过,当你打开电脑或手机,浏览网页时,那些神秘的脑肿瘤图片究竟是什么样子呢?今天,就让我带你一起揭开这些神秘面纱,从多个角度来探索这些令人敬畏的医学影像。一、脑肿瘤的起源首先,让我们来了解一下什么是脑肿瘤。脑肿瘤是指发生在脑部或神经组织的异常细胞群。这些细胞不受正常生长控制,可能会形成肿块,压迫周围组织,影响脑功能。据统计,全球每年约有50万人被诊断出患有脑肿瘤。二、脑肿瘤的类型脑肿瘤可以分为良性和恶性两大类。良性肿瘤生长缓慢,边界清晰,通常不会侵犯周围组织。而恶性肿瘤则生长迅速,边界模糊,容易侵犯周围组织,甚至转移到其他部位。1. 良性脑肿瘤:...
吴迪生活照,镜头下的真实与温馨

吴迪生活照,镜头下的真实与温馨

8℃ 0
你知道吗?最近在网上炒得火热的一个话题就是吴迪的生活照啦!这位明星的私生活竟然这么接地气,让人忍不住想一探究竟。今天,就让我带你从多个角度来揭秘吴迪的生活照,让你对他的生活有更深入的了解。一、吴迪的日常穿搭首先,咱们得聊聊吴迪的日常穿搭。看他的生活照,你会发现他是个非常注重时尚的人。无论是休闲装还是正式场合,他总能穿出自己的风格。不信?那就跟我一起看看吧!在吴迪的生活照中,最常见的穿搭就是休闲装。他喜欢穿着宽松的T恤搭配牛仔裤,这样的搭配既舒适又时尚。而且,他还会在T恤上加上一些有趣的图案,让整体造型更加个性。此外,他还喜欢搭配一双运动鞋,这样既能展现他...
泪满天 女主播唱的

泪满天 女主播唱的

7℃ 0
泪满天,歌声中的深情告白记得那是一个阴沉的午后,我无意间在直播间里邂逅了一位女主播。她的歌声,如同泪雨中的花瓣,轻轻飘落在我的心田。那是一首《泪满天》,她用那独特的嗓音,将这首歌曲演绎得淋漓尽致,让人忍不住泪湿眼眶。泪满天,那是一个关于爱情的故事《泪满天》这首歌,讲述了一段刻骨铭心的爱情故事。歌词中,女主角在爱情中经历了种种磨难,最终泪流满面。而女主播在演唱时,仿佛将自己代入其中,将那份深情演绎得淋漓尽致。女主播的嗓音,如同泪雨中的花瓣女主播的嗓音,清脆而富有感染力。在演唱《泪满天》时,她的声音中带着一丝颤抖,仿佛在诉说着自己的故事。那一句句“泪满天,泪...
柏寒个人资料,才华横溢的艺术家,人生轨迹与艺术成就的完美融合

柏寒个人资料,才华横溢的艺术家,人生轨迹与艺术成就的完美融合

8℃ 0
亲爱的读者们,今天我要和你聊聊一个特别的人物——柏寒。你可能不熟悉这个名字,但接下来,我会从多个角度带你深入了解这位神秘而又多才多艺的柏寒。一、柏寒的出身与成长柏寒,一个听起来就充满文艺气息的名字,他的真实身份却让人意想不到。他出生在一个普通的家庭,从小就对艺术有着浓厚的兴趣。在父母的熏陶下,柏寒从小就接触到了各种艺术形式,这为他后来的艺术生涯奠定了坚实的基础。柏寒从小就展现出过人的才华,他在音乐、绘画、文学等方面都有所涉猎。在高中时期,他就已经创作出了自己的第一首歌曲,并在学校举办的文艺比赛中获得了第一名。这个小小的成就,让柏寒更加坚定了自己在艺术道路...
比较丑的网红,那些外表平凡却魅力四射的“丑网红”

比较丑的网红,那些外表平凡却魅力四射的“丑网红”

7℃ 0
说到网红,大家脑海中浮现的都是那些光鲜亮丽的面孔,但你知道吗?在这个网红如云的时代,也有一些不那么“完美”的网红,他们或许没有精致的脸蛋,但却有着独特的魅力。今天,就让我们一起走进这些比较丑的网红的世界,看看他们是如何在网络上赢得一席之地的。一、颜值不是一切,才华才是王道首先,我们要明确一点,颜值并不是衡量一个人价值的唯一标准。在这些比较丑的网红中,有一位名叫“小眼睛”的姑娘,她的眼睛不大,但她的才华却让人惊叹。她擅长唱歌,每次直播都能唱得粉丝们如痴如醉。虽然她的外貌并不出众,但她的歌声却让人陶醉,这就是才华的力量。二、真实的力量,让人无法抗拒在这些比较...